Prendre soin
de votre sourire
COMPÉTENCE
Diagnostic
3D bucco-dentaire
Notre cabinet est équipé d’un système d’imagerie CONE BEAM qui permet la réalisation d’un examen radiologique en 3D de l’ensemble de la cavité buccale.
AVANTAGE DE L’UTILISATION D’UN CONE BEAM
- Examen plus précis qu’une radiographie Panoramique (caractère tridimensionnelle de l’image)
- Examen présentant une faible dosimétrie (moins irradiant qu’un scanner)
- Examen rapide (moins de 30 s)
BÉNÉFICES DIAGNOSTIQUES ET/OU THÉRAPEUTIQUES (HAS)
En Endodontie
- Bilan péri-apicale (recherche de foyers infectieux Bucco-dentaires)
- Bilan d’une pathologie dentaire radiculaire de type fracture ou résorption
- Localisation d’un canal dentaire radiculaire supplémentaire
En Parodontie
- Bilan pré-chirurgical dans le traitement des lésions de la furcation des molaires maxillaires
En Implantologie
- Bilan pré-implantaire et planification implantaire
- Création d’un guide chirurgical implantaire
En Chirurgie Buccale
- Bilan pré-chirurgical d’une lésion kystique
- Analyse des rapports anatomiques du canal mandibulaire avec les apex des troisièmes molaires mandibulaires
- Analyse des rapports anatomiques des molaires maxillaires avec le sinus maxillaire
Ce diagnostic 3D, complété par un examen clinique approfondi des dents et des tissus parodontaux à l’aide du Microscope, présente l’avantage de donner à nos patients un diagnostic avancé de leur situation bucco-dentaire.
COMPÉTENCE
Parodontologie
La Parodontologie ou Parodontie est la spécialité médicale qui prend en charge le traitement des maladies du parodonte. Le parodonte est constitué par la gencive, le tissu osseux, le cément radiculaire et le ligament alvéolo-dentaire.
QUELS SONT LES SIGNES D’UNE PARODONTITE
La parodontite est une maladie se caractérisant par une inflammation de nature infectieuse du parodonte.
Elle survient habituellement en milieu de vie (35-40 ans) et son mode de développement est le plus souvent chronique sans symptomatologie clinique marquée.
Il est donc important, pour chacun, de savoir repérer les premiers signes cliniques évocateurs de cette maladie :
- Une mauvaise haleine
- Une douleur gingivale de type irritation
- La présence d’un saignement au brossage ou la présence d’un saignement spontané (le matin au réveil, par exemple)
- Une couleur anormale de la gencive (rouge ou violacée)
- Une modification de volume de la partie de la gencive proche de la dent (œdème)
- Une baisse du niveau en hauteur de la gencive
- Une dent mobile
Si vous présentez un ou plusieurs de ces signes, il est important que vous puissiez consulter votre praticien afin qu’il réalise un diagnostic et vous propose un traitement.
La découverte de cette maladie est malheureusement trop souvent tardive.
DIAGNOSTIC D’UNE PARODONTITE
Le diagnostic d’une parodontite repose sur l’interrogatoire médicale du patient, l’examen clinique, le sondage parodontal et l’examen radiographique.
Le sondage parodontal permet notamment de faire la distinction entre la gingivite de la parodontite.
La parodontite est caractérisée par une perte de l’attache épithéliale évaluée par le sondage, une résorption de l’os alvéolaire et la formation d’une poche parodontale.
La profondeur du sondage au niveau d’une dent est un des indicateurs de la gravité d’une lésion parodontale mais le diagnostic de cette maladie repose sur la collecte d’un ensemble d’informations multiples.
TRAITEMENT D’UNE PARODONTITE
L’objectif du traitement est de stabiliser la maladie parodontale puis de régénérer, si cela est indiqué, les tissus parodontaux.
Les moyens thérapeutiques disponibles sont les traitements non chirurgicaux, les traitements médicamenteux (antibiotiques, antiseptiques locaux) et les traitements chirurgicaux.
Les traitements non chirurgicaux
L’enseignement de l’hygiène orale est une base indispensable pour que le traitement de la parodontite puisse aboutir au résultat escompté et pour que ce dernier soit durable. En particulier, l’utilisation régulière de l’hydropulseur est préconisée puisque les lésions parodontales siègent le plus souvent dans les zones interdentaires ; ces zones doivent donc être assidument nettoyées.

La thérapeutique initiale
La thérapeutique initiale est la première phase de traitement de la Parodontite et ce quelles que soient sa forme et sa gravité.
Elle consiste à la réalisation de plusieurs séances de désinfection localisée des tissus associées à l’utilisation d’ultra-son par un détartreur comportant des inserts spécifiques pour une utilisation sous-gingivale.
Il s’agit du traitement ultra-sonique des poches parodontales qui permet l’élimination du tartre et des bactéries situés dans la poche parodontale.
Ce traitement permet une réduction significative de l’inflammation des tissus, préambule indispensable à l’utilisation du laser pendant plusieurs séances selon la gravité de la maladie.
Le laser utilisé est un laser à diode et ses effets thérapeutiques sont de plusieurs ordres :
- Effet photochimique bactéricide en association avec du peroxyde d’hydrogène
- Effet biostimulant
- Effet photo-ablatif
Notre cabinet s’est doté de la technologie laser en 2012 et nous avons pu constater les effets bénéfiques sur les patients de cette thérapeutique par rapport aux traitements parodontaux chirurgicaux classiques de première intention que le Dr HINTZY a prodigué pendant près d’une quinzaine d’années.
Le patient prendra à l’issue de la dernière séance de la thérapeutique initiale, un rendez-vous de consultation de Parodontie 6 à 8 semaines après pour réaliser une réévaluation de son traitement.
Selon cette consultation, le traitement pourra évoluer soit vers une phase de maintenance parodontale, soit vers une phase de traitement chirurgical.
En l’absence d’indication d’un traitement chirurgical, la maintenance parodontale devra être régulière, à la fréquence d’une séance tous les 4 mois, pendant une année jusqu’à stabilisation complète de la maladie.
Elle consiste à une ou plusieurs séances de détartrage associées à l’utilisation de l’Air-Flow master et notamment l’utilisation du Perioflow qui permet l’élimination du biofilm sous-gingival sur une profondeur de 4 à 9 mm.

Les traitements médicamenteux
La prescription d’un traitement antibiotique associé à la phase initiale du traitement peut s’avérer judicieuse selon la forme et/ou le stade de la maladie.
Les traitements chirurgicaux
Ce sont des traitements chirurgicaux mini-invasifs réalisés avec une instrumentation dédiée et qui ont pour but l’élimination des poches parodontales profondes résiduelles supérieures à 6 mm.
Ils sont en générale associés selon la forme anatomique de la lésion à une régénération osseuse guidée. Notre préférence va vers l’utilisation d’un substitut osseux naturel d’origine bovine, le BIO-OSS couplé à une membrane collagénique naturelle, la membrane BIO-GIDE, produits par GEISTLICH.
Une autre partie des traitements chirurgicaux est constituée par la chirurgie muco-gingivale ou chirurgie plastique parodontale.
Elle a pour but la correction des anomalies de rapport entre la gencive attachée et la muqueuse alvéolaire par :
- l’augmentation de la hauteur de gencive attachée là où elle est insuffisante
- la création de gencive attachée là où elle est absente
- le recouvrement des faces radiculaires dénudées
Les maladies parodontales peuvent aujourd’hui être efficacement traitées et ces traitements sont adaptés sur mesure pour le patient selon la forme de la parodontite et sa sévérité.
La prévention de la maladie parodontale repose sur une bonne hygiène de vie, une hygiène bucco-dentaire régulière et soignée et un suivi par son parodontiste.

COMPÉTENCE
Implantologie
L’implantologie est une des disciplines de la Chirurgie Dentaire qui traite du remplacement d’une racine dentaire par une racine artificielle en titane placée dans l’os maxillaire ou mandibulaire.
Cette racine artificielle ou implant dentaire est destinée à accueillir une prothèse dentaire.

L’IMPLANT T3®, LE CHOIX DE LA QUALITE
Notre cabinet a choisi depuis plusieurs années de poser un implant de qualité, l’implant T3 distribué par ZIMMER BIOMET.
Cet implant a été spécialement conçu pour offrir des résultats esthétiques grâce à la préservation des tissus.

Les étapes du traitement
Le questionnaire médical
Il permet de connaitre l’historique médical du patient.
La thérapeutique implantaire est contre-indiquée pour certaines pathologies cardiaques et cancéreuses.
L’examen Clinique
L’examen clinique est déterminant car il permet de sélectionner le candidat à la thérapeutique implantaire.
La péri-implantite, qui est la complication la plus fréquente des traitements implantaires, correspond à une infection associée à une perte évolutive des tissus périphériques à l’implant.
Les patients qui ne disposent pas d’une situation parodontale saine seront exposés à un pourcentage de péri-implantite pouvant être jusqu’à quatre fois supérieur.
Les examens complémentaires
La radiographie panoramique
C’est l’examen de première intention qui va permettre d’appréhender la situation bucco-dentaire du patient.
La thérapeutique implantaire ne pourra être proposée, en raison de la fragilité de la liaison os-implant, que pour des patients dont la cavité buccale ne présente ni lésion carieuse, ni foyer parodontal actif.
Le Bilan sanguin
Il peut s’avérer utile dans certains cas, notamment pour explorer l’hémostase.
Le Cône Beam (CBCT)
C’est l’examen de choix pour la réalisation de la planification implantaire.
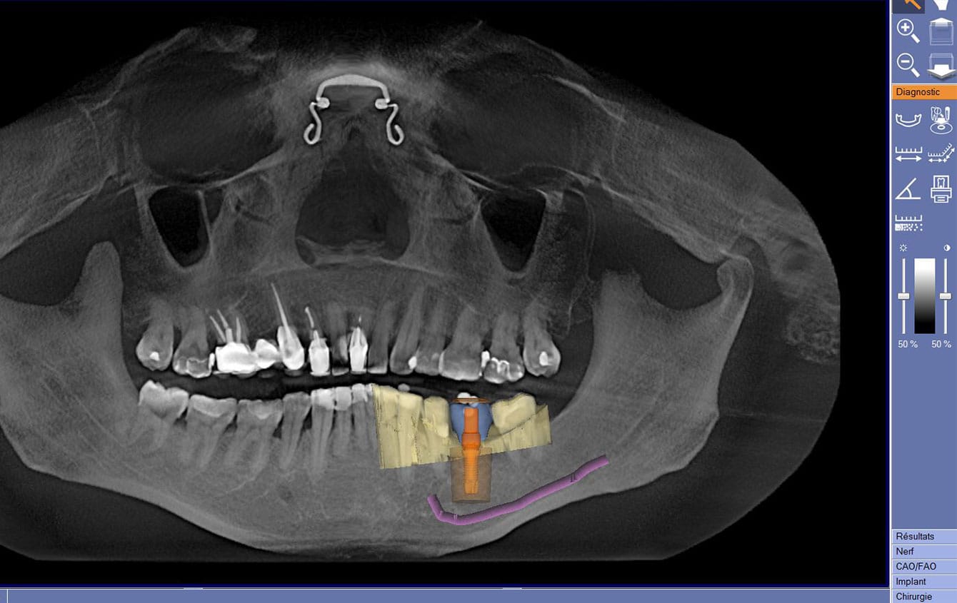
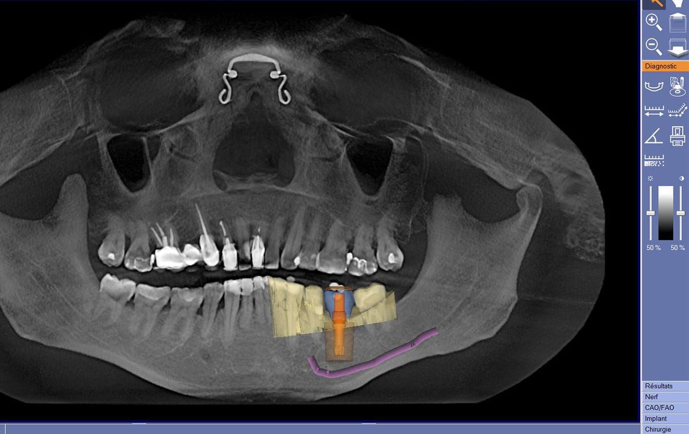
La planification implantaire
La planification implantaire consiste à déterminer le choix du nombre, de la longueur, du diamètre et de la position des implants, ainsi que leur orientation dans les différents plans de l’espace.
Grace au système CEREC, le projet prothétique supra-implantaire peut déjà être pris en compte. Cette planification axée sur la prothèse assure un positionnement optimal de l’implant avec le guide chirurgical CEREC GUIDE.
Dans ce cas clinique, la planification implantaire tient compte, pour la pose d’un implant localisé sur le site 36, du projet prothétique final (ici une couronne matérialisée en bleu).
Le nerf dentaire inférieur, élément noble à respecter dans cette chirurgie implantaire, est ici schématisé en violet.
La Chirurgie implantaire
C’est la réalisation de l’acte chirurgical pour poser l’implant sous anesthésie locale, le patient étant sous couverture antibiotique.
L’intervention peut durer entre une et deux heures. Selon le type de technique chirurgicale utilisée, une greffe osseuse peut être réalisée et des sutures peuvent être nécessaires en fin d’intervention.
Des recommandations post-opératoires sont données au patient et doivent être suivies scrupuleusement afin d’assurer une bonne cicatrisation de la zone opérée.
Les restaurations prothétiques implantaires
La couronne
La restauration prothétique est une couronne dans le cadre de la restauration liée à la perte d’une dent.
Cette couronne peut être :
- soit transvissée directement sur la tête d’implant si l’axe prothétique correspond à l’axe implantaire.
- soit scellée sur un pilier prothétique qui est lui-même vissé dans l’implant.
Le système CEREC permet, grâce à l’utilisation d’un Tibase, la réalisation d’une couronne en céramique directement au cabinet.



Le Bridge
La restauration prothétique est un bridge implanto-porté dans le cadre de la restauration de plusieurs dents.
C’est une solution prothétique qui présente l’avantage d’être fixe et offre au patient une solution confortable.
Dans certains cas pour une édentation complète, la résorption de l’os alvéolaire (lorsqu’elle est importante) oriente la réhabilitation prothétique vers une prothèse amovible complète supra-implantaire.

La prothèse amovible complète mandibulaire supra-implantaire sur attachements (Pilier Locator)
Il s’agit d’une prothèse complète muco-portée traditionnelle comportant en plus deux attachements supra-implantaires qui permettent d’améliorer de façon significative la rétention et la stabilisation de la prothèse.
Elle est particulièrement appréciée par les patients porteurs de prothèse complète mandibulaire et qui souffrent d’une instabilité handicapante de leur prothèse, les obligeant parfois à utiliser des crèmes adhésives.
De plus, cette solution prothétique permet aux patients un entretien aisé de leur appareil et au praticien une maintenance facilitée.
Le pilier locator est constitué par une partie male composé par un attachement axial directement vissé dans l’implant et une partie femelle située dans la prothèse amovible et composée d’un boitier recevant une gaine interchangeable.
La prothèse adjointe complète maxillaire supra-implantaire sur barre
Au maxillaire, les données scientifiques actuelles préconisent la mise en place de 4 à 6 implants reliés par une barre de rétention et suffisamment espacés pour permettre le placement de cavaliers dans la prothèse.
C’est le résultat de l’examen clinique et des examens complémentaires du patient qui permettront de déterminer avec précision le choix du nombre d’implants, de leurs tailles et de leurs diamètres.
Cette solution prothétique offre l’avantage de limiter l’encombrement car il est possible au maxillaire de réaliser une prothèse en forme de fer à cheval qui est particulièrement indiquée pour les patients ayant un réflexe nauséeux et ne supportant pas la prothèse complète maxillaire classique.
De plus, cette technique offre l’avantage, contrairement à la prothèse classique, de maintenir la gustation en préservant la liberté des papilles gustatives.
On note pour les prothèses amovibles complètes supra-implantaires un taux élevé de satisfaction des patients de par le confort masticatoire que confère ce type de prothèse, le résultat esthétique obtenu mais aussi la simplicité des soins d’hygiène quotidien et de maintenance.
Les prothèses complètes amovibles supra-implantaires présentent également des inconvénients parmi lesquels un surcout par rapport à une technique classique (lié à la mise en place des implants et des attachements), une durée de traitement allongée et une maintenance régulière.
COMPÉTENCE
Dentisterie
numérique
La dentisterie numérique ou CFAO (conception et fabrication assistées par ordinateur des prothèses dentaires) permet la réalisation d’un traitement dentaire en une seule séance.
Le système CEREC développé depuis plus d’une trentaine d’années, permet, grâce à l’utilisation de matériaux de haute performance telle que la céramique EMAX, la création d’une restauration dentaire esthétique fixe de haute précision.
Aujourd’hui, une restauration CEREC est posée toutes les 5 secondes dans le monde.
AVANTAGES DE LA DENTISTERIE NUMÉRIQUE
- Réalisation d’une restauration dentaire esthétique en une seule séance avec une seule anesthésie et sans obturation provisoire
- Empreinte optique à l’aide d’une caméra 3D sans utilisation de porte empreinte ni de matériaux à empreinte en bouche
- Fabrication de la prothèse intégrée au cabinet et contrôle de la traçabilité
- Restauration biocompatible en céramique sans métal

LES ÉTAPES DU TRAITEMENT

- Empreinte optique
Elle se réalise grâce à l’utilisation d’une caméra qui permet en moins d’une minute l’obtention d’images précises en 3D. - La conception
Le logiciel CEREC génère ensuite une proposition de restauration de qualité basée sur la fonction « Biojaw ». Cette fonction permet une proposition de restauration personnalisée prenant en compte la morphologie dentaire existante du patient. - Le fraisage / meulage
L’unité d’usinage CEREC synchronisée au logiciel permet l’obtention d’une restauration précise en moins d’une douzaine de minutes. - Finalisation
La restauration selon l’indication du traitement et le type de matériau utilisé pourra suivre une étape de maquillage et de glaçage avant une cuisson au four à haute température pendant 15 à 25 minutes.
LES DIFFÉRENTES RESTAURATIONS
1 / L’Inlay ou l’Onlay
Les inlays ou onlays sont des petites prothèses en céramique ou en composite qui remplacent une partie manquante de la dent tout en gardant la dent vivante.
Dans le cas où la lésion carieuse est de volume important, les onlays permettent parfois d’éviter la pose d’une couronne qui nécessite une préparation coronaire moins économe de tissu.
Avantages de l’Inlay / restauration classique (Amalgame / Composite)
- Obturation beaucoup plus esthétique car la forme et la couleur sont choisies sur mesure
- Meilleure étanchéité liée à l’utilisation d’un composite de collage présentant une forte adhésion (diminution du risque de récidive d’une lésion carieuse : durée de vie bien supérieure pour l’inlay/ onlay, entre 10 et 15 ans en moyenne par rapport aux restaurations en composite foulée qui ont une durée de vie entre 3 et 5 ans en moyenne)
- Meilleure résistance mécanique que les amalgames ou composites
- Gestion par ordinateur plus précise des points de contact et notamment du point de contact interdentaire (moins de tassement alimentaire)



Type de matériau
utilisé :
Céramique – Haute résistance
Stabilité de teinte dans le temps
Nécessite une cuisson au four

Type de matériau
utilisé :
Bloc de composite
Restauration possible même avec des épaisseurs limitées
Procédé rapide sans cuisson au four
2 / La facette
Notre cabinet utilise les dernières avancées technologiques pour offrir à nos patients une solution esthétique personnalisée, le blanchiment des dents et la pose de facettes en céramique faisant partie intégrante de cette solution.
Les facettes en EMAX réalisées à l’aide du CEREC présentent l’avantage de pouvoir être très fines (jusqu’à 4/10 mm). La palette de leurs différentes teintes translucides et la possibilité d’en ajuster précisément leur forme les rendent indétectables par rapport à vos dents adjacentes, garantissant ainsi un résultat hautement esthétique.
Quand consulter pour une pose de facettes en céramique
- Présence d’une anomalie de forme de la dent
- Présence d’une anomalie structurelle de l’émail
- Présence d’une anomalie de teinte de la dent non corrigeable par un blanchiment dentaire
- Présence d’une perte de substance liée à un traumatisme ou à une lésion carieuse
- Présence de taches sur la dent
- Présence d’un défaut d’alignement dentaire après traitement orthodontique

3 / L’Inlay core
L’inlay core est une structure coronoradiculaire sur une dent dévitalisée qui est réalisée lorsque la dent est trop abimée pour pouvoir recevoir la pose d’une couronne directement.
Cette technique a pour but de consolider la dent afin de permettre ensuite la réalisation d’une couronne et ainsi d’éviter l’extraction de la dent.
Par ailleurs, l’inlay core permet la réalisation d’un premier joint de collage. La réalisation d’une limite prothétique pour la couronne, une fois l’inlay core collé, à distance de ce premier joint permet l’obtention d’un différentiel de joint de collage. Cela confère une double étanchéité à la restauration finale, protégeant ainsi le traitement radiculaire sous-jacent et donc limitant la survenue dans le temps de complications osseuses infectieuses, pour autant que la dévitalisation de la dent ait été bien conduite.
Dans ce cas, l’inlay core a été réalisé sur une seconde prémolaire supérieure qui présente la particularité d’avoir deux canaux.
Le matériau utilisé (Céramique EMAX) est strictement le même que celui utilisé pour la couronne, ce qui permet non seulement une homogénéité de la restauration finale, mais également un résultat esthétique cohérent puisque la teinte choisie pour l’inlay core est identique à celle de la couronne.
4 / La Couronne
C’est une prothèse qui est destinée à recouvrir une dent dévitalisée ou une dent vivante lorsqu’une perte de substance importante de nature traumatique et/ou infectieuse a touché cette dent.
Le rôle d’une couronne est donc de restaurer l’esthétisme et la fonction d’une dent mais aussi de la protéger du risque de survenue de fracture. En effet, une dent ayant bénéficié d’un traitement endodontique (ou dévitalisation) devient, par ce fait, beaucoup moins résistante et dans les secteurs postérieurs (molaires et secondes prémolaires) où les pressions exercées sur les dents lors de la mastication sont importantes, une dent dévitalisée est habituellement couronnée.
Ce cas montre la réhabilitation d’une couronne sur inlay core sur la première molaire maxillaire droite.
Réalisée en céramique EMAX, cette restauration présente l’avantage d’être biocompatible (sans métal) garantissant une bonne santé gingivale à proximité immédiate de la couronne. Elle est aussi esthétique car l’absence de métal évite la survenue dans le temps d’un liseré noire disgracieux localisé à la base de la restauration.
5 / LE BRIDGE
Le bridge permet, à la suite de la perte d’une dent, son remplacement s’il y a au moins une dent de part et d’autre de l’édentement.
Un bridge est donc un ensemble d’éléments prothétiques solidaires composé par au moins deux couronnes reposant sur les dents supports, appelées piliers prothétiques et d’une ou plusieurs couronnes entre ces piliers appelées inters ou pontiques.
Avantages du bridge / la restauration Implantaire
- Pas de contre-indication d’ordre médical à la réalisation de cette thérapeutique
- Restauration biocompatible et esthétique (céramique EMAX)
- Traitement prothétique plus rapide à mettre en œuvre
- Solution plus économique car il existe une meilleure prise en charge par la sécurité sociale sous conditions (l’assuré pourra bénéficier de cette prise en charge si, au moins, une des dents piliers du bridge ne peut être reconstituée de manière durable)
- Pas d’étapes chirurgicales en dehors de l’extraction de la dent et d’un éventuel comblement de l’alvéole dentaire (il limitera les défauts esthétiques des tissus gingivo-osseux attenants)
Inconvénients du bridge / la restauration Implantaire
- Une mauvaise économie des tissus dentaires :
En effet, la mise en œuvre du traitement impose la réalisation de préparations coronaires périphériques au niveau des dents supports qui peuvent parfois être indemnes de lésion carieuse. C’est pourquoi l’indication du bridge est souvent posée à la faveur de piliers déjà délabrés. - Un certain manque d’autonomie :
Il suffit qu’un seul pilier du bridge soit atteint par une récidive de lésion carieuse et c’est l’intégralité de la restauration qui sera impactée.

6 / Les restaurations prothétiques implantaires (couronne et Bridge)
Se reporter à la compétence IMPLANTOLOGIE…
À propos des honoraires
du cabinet dentaire
Notre cabinet s’engage à vous prodiguer des soins de haute qualité grâce notamment à un environnement technologique de pointe.
Les honoraires tiennent comptent du niveau de compétence acquis et du plateau technique utilisé pour la réalisation des traitements bucco-dentaires dont certains peuvent être complexes.
Le Dr HINTZY est conventionné, une partie des soins de la CCAM est remboursée par la sécurité sociale à hauteur de 60 % du tarif de convention.
D’autres traitements faisant appel à une technicité supérieure, tels que la dentisterie numérique, le traitement des maladies parodontales ou la pose d’implants dentaires peuvent donner suite à un complément d’honoraire.
Un plan de traitement vous sera proposé et expliqué suite à la réalisation d’un diagnostic avancé de votre situation bucco-dentaire, un devis détaillé accompagnera ce plan de traitement.









































